Dr. Krystyna Wilczynski is one of London’s leading cosmetic dentists and facial aestheticians, celebrated for her holistic approach to beauty that integrates advanced biotech insights with artistry and medical precision.

With a visionary eye and deep medical expertise, she focuses on facial harmony and enhancements that respect the body’s natural structure. By understanding the unique mapping of each patient’s face, Dr. Krystyna blends cosmetic dentistry with facial rejuvenation to deliver results that are both undetectable and transformative.

Her philosophy embraces the new aesthetics-treating beauty from the inside out—where science, wellness, and artistry intersect to create bespoke, natural-looking outcomes tailored to each individual client.

Facial Aesthetics

FACIAL AESTHETICS

Dr Krystyna’s passion for facial aesthetics began during her time studying dentistry at Leeds Dental School, where she received a complete understanding of the facial anatomy. Following this, Krystyna has undertaken a vast amount of post graduate training
which has allowed her to uniquely blend both her dental and facial aesthetic training. Dr K’s (as she is known by her patients) passion for facial perfection and balancing grew following training from the industry’s most prestigious academies and professionals in NYC and London’s Harley Street

Dr K’s convivial personality and iconic ‘tweakments’ have become her trademark, using a minimally invasive and artistic approach to gradually build the desired effect of enhanced contouring married with natural looking results.

Today, Dr K continues to focus on natural-looking results that help her patients both look and feel good. She believes that too many practitioners provide a ‘one and done,’ quick-fix solution to their patients’ treatment plans. They treat only what they see. Instead, Dr Krystyna takes a 360° approach to aesthetic wellness.

READ MORE
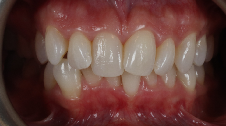
Dental Cosmetics

DENTAL COSMETICS

Patient care is at the forefront of Dr Krystyna’s practice ensuring that each client is put at ease through the tailored experience from: the consultation process and treatment to the bespoke programme and aftercare management.

She is a member of The British Dental Associate and The Royal College of Surgeons Faculty of Dental Surgery and has completed several advanced training programmes in both dental and facial cosmetic treatments including Invisalign, composite bonding and advanced facial dermal filler and skin treatments.

There are many advanced treatments available to help you achieve a smile that not only looks beautiful but also supports your overall wellbeing. At the heart of my approach is the belief that a smile makeover is more than a cosmetic transformation-it’s a holistic experience that can elevate your confidence, enhance harmony across your face, and improve your quality of life. By integrating cutting-edge dental science with an understanding of the body’s natural balance, every treatment is tailored to create results that feel authentic, sustainable, and uniquely yours.

READ MORE

BOOK NOW

My wonderful team and I read every message and would love to assist with any enquiries or bookings.

We endeavour to respond within 48 business hours, Monday - Friday 9:30am-5:30pm GMT.

    Please select the service you are enquiring about:

    Please select your preferred location:

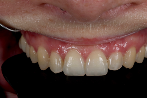
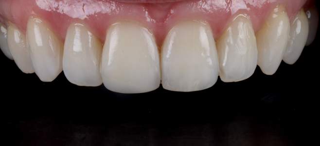
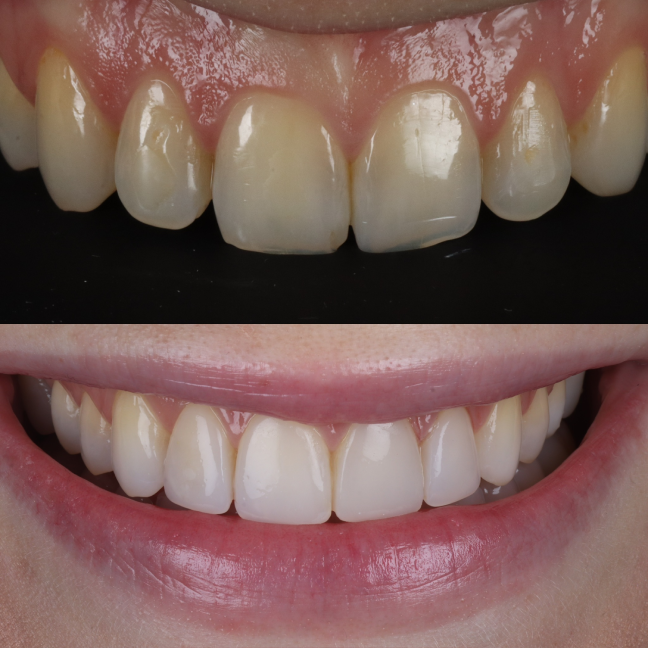
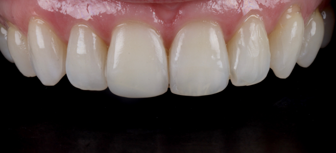
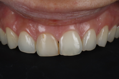
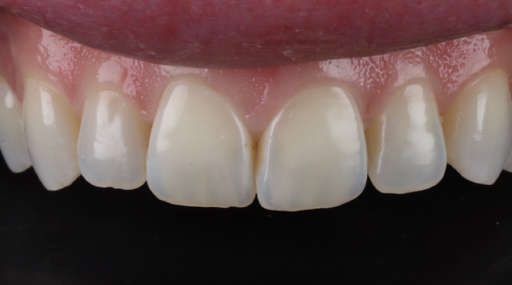
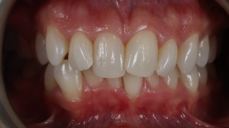
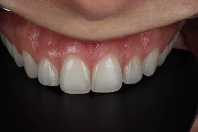
    THE RESULTS

    See the confidence that thoughtful aesthetics can create.

    VIEW ALL

    © COPYRIGHT 2026 DR KRYSTYNA

    Hello and thank you for your enquiry.

    I’m Dr Krystyna, and I’m currently on maternity leave until April 2027 — an incredibly exciting new chapter for my family and me.

    During this time, all new enquiries will be added to my waiting list. Please leave your details and my team will contact you next year to arrange your consultation and discuss availability for appointments from April 2027 onwards.

    Thank you so much for your patience, support, and understanding — I truly look forward to welcoming you back soon. ✨


    The reCAPTCHA verification period has expired. Please reload the page.